骨隆起の削合
TORUS
骨隆起の削合
骨隆起とは
歯茎の周りや上顎の骨が盛り上がり、コブのように出っ張ったものです。 噛んだときの刺激の蓄積により、徐々に形成されます。主に、食いしばりが強い方や歯ぎしりをされる方に多く見られます。日常生活に支障がない場合、無理に除去する必要はありませんが、以下のような場合は治療が必要となります。
治療が必要なケース
- 義歯が当たって痛い方
- 骨隆起があることで義歯作製が難しい方
- 骨隆起があることで矯正装置の装着が難しい方
当院では外科手術による削合が可能
当医院では口腔外科の専門家が在籍しており、外科手術によって
骨隆起を削合することが可能となっております。
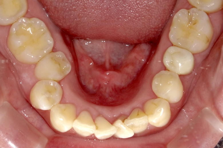
実際の症例
治療前
治療後
- 年齢・性別
- 29歳・女性
- 主訴
- 歯並びが気になる
- 診断
-
- 下顎の狭窄歯列弓(下顎がせまい)
- 叢生(そうせい / 歯並びがでこぼこ)
下顎の骨隆起が矯正装置の装着を妨げていたため、削合が必要と判断されました。
- 治療内容
- 両側の下顎隆起形成術(骨隆起を削合)後、バイヘリックスで下顎狭窄歯列弓を拡大(矯正装置で下顎を広げ)、マルチブラケット装着(矯正装置で歯並びを矯正)。
- 経過
- バイヘリックス・マルチブラケット装着にて矯正中(2021年1月現在)
外科手術にあたっての注意事項
- 処置を行ってから傷口の治癒までは約1カ月程度かかります。
- 治療後の症状として、腫脹、疼痛、食事のしにくさ等が生じます。
- 骨粗鬆症のお薬を服薬中の方、がん治療中(抗がん剤を服薬中)の方は、手術をお受けいただけない場合がございます。
- 手術は保険算定が可能となっています。
口腔外科の専門家が在籍

口腔外科
嘉手納 勉
かでな つとむ
九州大学歯学部 卒業
九州大学大学院歯学研究院 博士課程修了
九州大学歯学部付属病院 第2口腔外科助手
麻生飯塚病院歯科口腔外科 医長代理
屋久島徳洲会病院歯科口腔外科 医長
(医)仁慈会西原歯科 口腔外科部長
福岡徳洲会病院 歯科口腔外科 医長
日本救急医学会認定JPTEC(病院前外傷救護)プレインストラクター
日本救急医学会認定ICLS・BLS インストラクター
日本口腔外科学会 会員
日本口腔科学会 会員
日本顎関節学会 会員
日本顎顔面外傷学会 会員